![]() |
For more information call
The Wellington Hospital: 020 7483 5589
Fortius Clinic: 0845 853 1000 The Yorkshire Clinic: 01274 621600 |
![]() |
For more information call
The Wellington Hospital: 020 7483 5589
Fortius Clinic: 0845 853 1000 The Yorkshire Clinic: 01274 621600 |

(antero superior tear of the labrum)
Labral tears can occur acutely as a result of trauma or over a longer period of time due to naturally-occurring wear and tear (degenerative-type tears). Labral tears can be classed as post-traumatic, degenerative, or as a result of femoro-acetabular impingement or instability of the hip joint. Isolated labral tears are rare. Labral tears can be debrided or repaired depending on the type of tear. The majority of labral tears occur at the labrum-articular cartilage interface. This zone has a relatively poor blood supply and therefore spontaneous healing would be rare.
The most common tear is a labral detachment and is usually seen associated with femoro acetabular impingement. The tear occurs through the shear forces exerted on the labrum cartilage interval by the cam deformity at the head neck junction of the femur. Flap tears are not uncommon either in a more degenerative labrum.
.jpg)
(arthroscopic picture showing a labral detachment)

(arthroscopic picture of a labral flap tear)
Usually patients become symptomatic with a labral tear but patients tend to present with symptoms related to the underlying and predisposing condition. 50% of the patients report clicking, about 25% complain of instability symptoms. Playing football is usually possible with a labral tear, because it does not affect kicking the ball but sprinting and twisting and turning will be painfull.
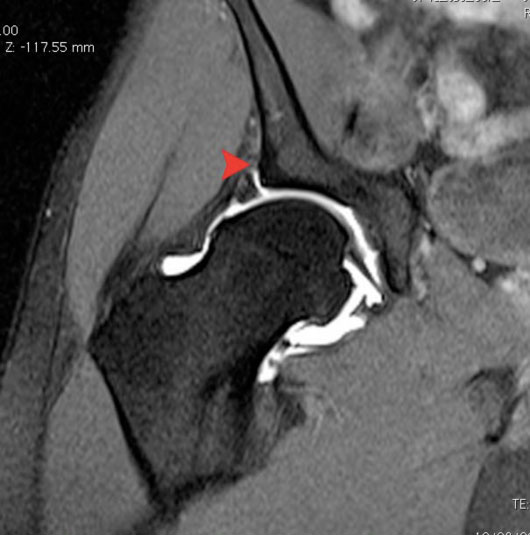
Although X rays can suggest the diagnosis of labral tears by identification of the causative condition, an MR arthrogram is the diagnostic examination of choice. Although labral detachments are frequently not picked up with this technique when combined with an intraarticular injection of a local anesthetic, the hip can be identified as the source of pain.

(MRI arthrogram of the hip demonstrating a labral tear. The red arrow demonstrates where the labrum is torn away from the acetabulum)
Labral repair - Femoroacetabular impingement (FAI) surgery - Surgical results - home - Ernest Schilders profile